ここでは特徴的な症例について、一部をご紹介いたします。
※手術の写真を掲載しておりますので、苦手な方はご注意ください。
小滝橋動物病院グループ全体の外科症例件数については、>こちらをご参照ください。

犬に多い先天性疾患 門脈体循環シャントについて

目次


門脈体循環シャントについて


門脈体循環シャントとは、門脈と別の血管との間に異常血管が形成される病気です。
通常、腸管から吸収されたアンモニアや細菌の毒素は門脈という血管を通って肝臓に入り無毒化されます。
しかし、この門脈と全身の静脈をつなぐ異常な血管が存在すると、肝臓で無毒化されるべき有害物質が肝臓で処理されないまま直接全身にまわってしまい、体内に多くの障害を引き起こします。 このような血管の異常が先天的、または後天的に生じたものを門脈体循環シャント(portosystemic shunts : 以下PSS)と呼びます。
PSSは犬では大型犬に比べ小型犬に多い疾患であり、猫では比較的まれな疾患と言われています。PSSが存在する犬猫では一般的に発育が悪く、活動性が乏しかったり眠っていることが多かったりすると言われています。
症状が軽いものでは食欲不振や嘔吐下痢などの消化器症状が中心になることもありますが、食後数時間での流涎を伴うてんかん発作や沈鬱、性格の変化など、様々な神経症状を伴うことも少なくはありません。
また、アンモニアが尿路系から排泄されるため、尿中に尿酸アンモニウム結晶や結石ができやすくなり、血尿などの膀胱炎症状を伴うこともあります。
幼少期から激しい症状を現す犬猫がいる一方、明らかな臨床症状がなく避妊去勢手術の術前検査で発見されるケースや、少し年齢を経てから症状が現れるケースもあります。
臨床症状や血液検査(アンモニア値や肝酵素、総胆汁酸値など)からPSSを疑う場合、全身麻酔下での造影CT検査を実施し、異常血管が認められれば確定診断となります。
治療には異常血管の結紮が必要となり、当院では合併症の一つである術後発作のリスクを軽減するため2回に分けたシャント血管結紮術(半結紮→完全結紮)を行っております。




実際の症例


 6ヶ月の子犬さん、とても元気で目立った臨床症状はありませんでしたが、避妊手術の術前検査でアンモニアの高値が確認されました。
後日実施した食前食後の総胆汁酸値測定においても高値が認められたため、造影CT検査を行いました。
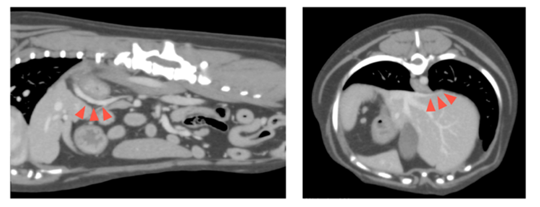
CT検査において、血管径約5mmの左胃静脈−横隔静脈−後大静脈シャントが見つかりました(赤矢頭)。
シャント血管によって肝臓に流入する血液の多くが全身循環に流れてしまうため、肝臓に流れる血液量が少なくなり、肝臓がやや小さく肝臓内の血管も発達が悪いことがわかりました。
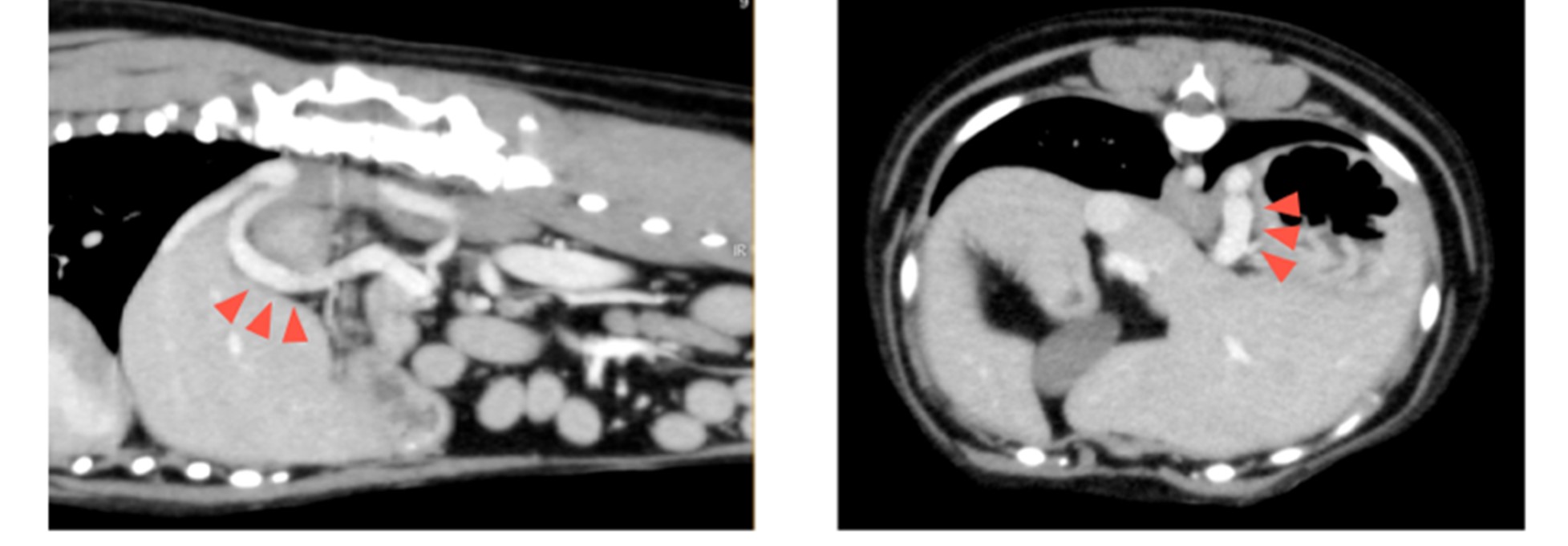
後日1回目のシャント血管結紮術を行い、3ヶ月後に再度造影CT検査を行いました。
シャント血管は残存していますが、血管径は半分程度まで細くなっていることがわかります。
肝臓は正常なサイズまで成長し、肝臓内の血管の発達も良好であることがわかりました。
2回目の結紮術と同時に避妊手術も行い、術後発作などの合併症もなく元気に退院しました。
 子犬さん子猫さんの様子がおかしい、なんとなく元気がない、食後によだれが出る、と気になった方は早めにご相談ください。
PSSを疑う場合、早期の確定診断、早期の治療が必要となります。当院でのCT検査は即日の対応も可能な場合がありますので、お気軽にご相談ください。


執筆担当:獣医師 青木 理紗
東京都豊島区南長崎2-2-1 軟部外科に特化した目白通り高度医療センター トップページはこちら>>
TEL:03-3565-6596
ネット予約はこちら>>