ここでは特徴的な症例について、一部をご紹介いたします。
※手術の写真を掲載しておりますので、苦手な方はご注意ください。
小滝橋動物病院グループ全体の外科症例件数については、>こちらをご参照ください。

犬の先天性胸膜腹膜ヘルニア(横隔膜ヘルニア)

目次



横隔膜ヘルニアについて


横隔膜へルニアは横隔膜に孔があく病気で、 胃や小腸、大腸、脾臓、肝臓などのお腹の臓器が胸に入り込んで肺を圧迫するため、呼吸困難や消化管の通過障害が生じます。

先天性および後天性(外傷性)のヘルニアがあり、先天性では心膜腹膜横隔膜ヘルニア、胸膜腹膜ヘルニア、食道裂孔ヘルニアの3つのタイプに分類されます。

その中で胸膜腹膜ヘルニアは重症例では死産や生後まもなく呼吸不全等により死亡してしまうことが多いとされ、犬猫においての報告はほとんどありません。
2歳まで明確な臨床症状を示さず、下痢および食欲不振、軽度の呼吸促迫を主訴に来院した症例から本症を診断したという報告もあります。




実際の横隔膜ヘルニアの症例


8ヵ月齢の子犬さんで、整形外科の手術を希望されて来院されました。
本人の状態や院内での身体検査、呼吸状態に異常は認められませんでしたが、麻酔前検査における胸部X線検査にて、左の肺に異常な白い領域が認められたため、後日CT検査を行いました。

CT検査においては、正常では横隔膜によって隔たれているはずの胸腔と腹腔のが連続しており、横隔膜左背側の孔からは左胸腔内へ脾臓が脱出していました。
そこで先天性胸膜腹膜ヘルニアを疑い、数日後に手術を予定していました。
しかし、新たに胃が胸腔内へ脱出し、胃の中に異常に空気がたまってしまったことから、心臓が押され肺がうまく広がらなくなり、突然ショック状態を引き起こしてしまいました。
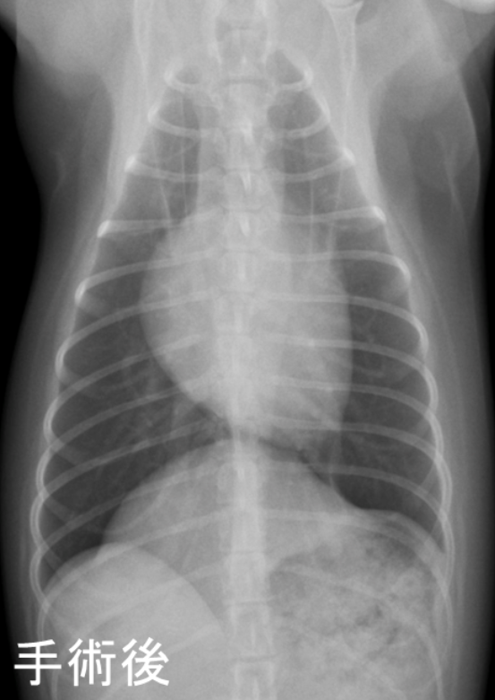
ショック状態が改善した後、胃や脾臓を腹腔内へ戻してヘルニア孔を閉じる手術を行い、現在手術から8ヵ月が経ちましたが再発もなく元気に過ごしています。
初診時のレントゲン画像(左)、CT画像(右)
急変時のレントゲン画像(右)、CT画像(左)
手術後のレントゲン画像
本症例のように、症状がなく元気に過ごしていても突然劇症化する可能性があり、早期の診断と手術が必要になる疾患です。
子犬さん子猫さんの呼吸器症状や消化器症状が気になる方は、早めにご相談ください。
また横隔膜ヘルニアは、肺疾患との鑑別や手術計画にCT検査が有用です。
当院ではCT検査やMRI検査などの高次画像診断にも力を入れております。
CT検査のご紹介は即日の対応も可能な場合がありますので、お気軽にご相談ください。



執筆担当:獣医師 青木 理紗
東京都豊島区南長崎2-2-1 軟部外科に特化した目白通り高度医療センター トップページはこちら>>
TEL:03-3565-6596
ネット予約はこちら>>