ここでは特徴的な症例について、一部をご紹介いたします。
※手術の写真を掲載しておりますので、苦手な方はご注意ください。
小滝橋動物病院グループ全体の外科症例件数については、>こちらをご参照ください。

犬の心臓にできる腫瘍(見つかりにくいガン)

皆さんこんにちは。獣医師の山下です。今回は腫瘍のお話をします。
大動脈小体腫瘍(化学受容体腫瘍/ケモデクトーマ)と呼ばれる腫瘍をご存知でしょうか。 フレンチブルドックなどの短頭種に好発し、比較的ゆっくり増殖増大することから、症状を示さないこともあり、しばしば偶発的に発見される腫瘍です。
大動脈小体は抹消性化学受容器の一種であり、大動脈起始部に存在し、動脈血液中の酸素分圧をモニタリングしている器官です。その解剖学的特徴から健康診断などでは発見されにくい特性があります。

そんな大動脈小体腫瘍が、心臓の左心耳と呼ばれる場所に発生した稀なケースをご紹介します。
【症例】
トイプードル 避妊雌13歳齢
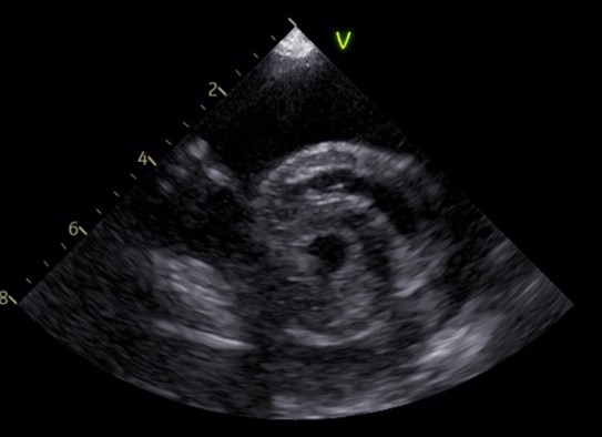
症例は、心膜内に液体が貯留し、心臓の動きを圧迫する所謂“心タンポナーデ”を呈していました(写真1)。心嚢水抜去を行っても再度貯留してしまうことから、症状緩和を目的に心膜切開術を実施したところ、左心耳に腫瘍性病変を発見、切除することができました(写真2)。
院内での細胞診検査(写真3)においてケモデクトーマが第一に疑われ、後の病理組織学的検査においても大動脈小体腫瘍と診断されました。
術後に胸水/心嚢水の再貯留は認められず、現在一般状態も良好に保たれています。

通常放射線療法あるいは化学療法が選択されることの多い腫瘍ですが、発生部位によっては今回のように外科手術によって救命できることもあります。
当院は心臓循環器科チームと腫瘍科チームが、科の垣根を越えて一丸となって診断/治療に向き合っています。同様の症状でお困りの患者様がいらっしゃいましたら、ぜひ一度ご来院いただき、ご相談いただければと存じます。
(写真1 心嚢水貯留時の心臓超音波画像)
(写真2 心膜切開時の肉眼写真)
(写真3 左心耳の細胞診画像)


小滝橋動物病院 目白通り高度医療センター
獣医師 山下
写真1
写真2
写真3